Natural-Looking Veneers: How to Avoid the “Fake Teeth” Look

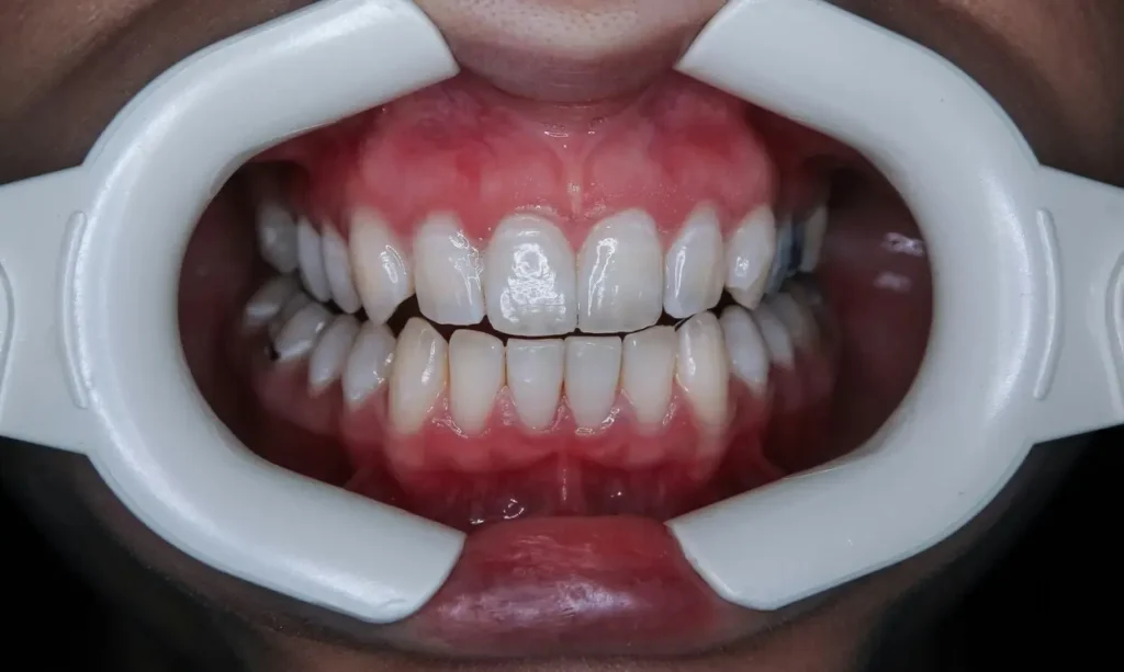
Not all dental veneers are created equally. The most natural-looking veneers come from careful planning, high-quality materials, and a cosmetic dentist who understands facial harmony. At Advanced Dental Arts NYC, we combine clinical expertise with custom facial planning to deliver subtle, balanced smiles. 

advanceddentalartsnyc

Why Do Some Veneers Look Fake?

Why do veneers look fake? Often it’s because they’re too opaque, too large, or the wrong shade for a person’s skin tone and facial structure. These mistakes are usually the result of rushed treatments, poor communication, or using generic templates instead of customized planning.

At Advanced Dental Arts NYC, we take a clinically guided approach. Every case begins with an in-depth consultation and a hand-tailored treatment plan developed by our cosmetic dentists

advanceddentalartsnyc
advanceddentalartsnyc

What Makes Veneers Look Natural?

Natural veneers depend on a combination of skilled technique, precision, and high-quality materials. Our team focuses on:

  • Accurate Shade Matching: We use calibrated shade guides and assess in natural light to ensure fake-looking veneers aren’t part of your outcome.
  • Custom Tooth Morphology: Veneers are shaped to reflect your bite, lip movement, and individual wear patterns.
  • Porcelain Veneers: We work with high-translucency porcelain veneers that reflect light like natural teeth.
  • Facial Harmony Planning: Your natural-looking veneers are designed to complement your face – not just your teeth.
advanceddentalartsnyc

Porcelain vs. Composite Veneers: Which Looks More Real?

Porcelain Veneers

  • Closely mimic natural teeth
  • Offer superior stain resistance
  • Last 10–15 years with proper care or more
  • Completed in just two visits

Composite Veneers

  • More affordable
  • Applied in a single visit
  • Less durable; prone to staining and wear
  • Better for small corrections or trial treatments

For realistic, natural-looking veneers, porcelain veneers are the material of choice.

advanceddentalartsnyc

Questions to Ask Before Getting Veneers

Choosing veneers is both a cosmetic and medical decision. Before starting treatment, ask your provider:

  • What materials will be used, and why?
  • How do you ensure a natural-looking result?
  • Will a prosthodontist be involved?
  • How are shape and shade determined?
  • Can I preview the final outcome?
  • What follow-up or maintenance is required?

These questions help you gauge the provider’s experience, planning process, and commitment to avoiding fake-looking veneers.

advanceddentalartsnyc

Why NYC Patients Choose Advanced Dental Arts for Veneers

  • At Advanced Dental Arts, our skilled cosmetic team works closely with prosthodontists to deliver safe, natural-looking veneers. We’re known for:

    • Long-lasting porcelain veneers fabricated by top-tier dental labs
    • Customized aesthetic treatment plans based on facial analysis
    • In-house team with 10+ years of cosmetic and restorative experience
    • Transparent process from consult to final smile

    We serve patients across Greenwich Village, the West Village, and downtown Manhattan.

advanceddentalartsnyc

FAQ

Am I a candidate for veneers?

Yes – if your teeth and gums are healthy and you want to improve your smile’s shape, color, or symmetry. We’ll confirm eligibility during your exam.

No. Our custom planning, natural materials, and skilled cosmetic team ensure a result that avoids fake-looking veneers and feels balanced and believable.

No. Veneers are minimally invasive. Most patients report no discomfort and return to normal routines immediately.

10–15 years with proper hygiene and occasional checkups. We’ll advise on how to maintain your results long-term.

Pricing depends on your case. We’ll provide an upfront quote, including lab fees and treatment planning.

Book a consultation. We’ll assess your smile, explain your options, and answer your questions in detail.

Book a Free Consultation

Ready to Transform Your Smile? Book a Consultation

Considering veneers? Schedule a personalized consult at our Manhattan office. We’ll review your goals, scan your smile, and map out a treatment plan aligned to your face and lifestyle.
Share Our Story!
a close up of a man in a suit and glasses standing in a dentist ' s chair
Lead Dentist / Founder

Dr. Bertman is the Lead Dentist and Founder of Advanced Dental Arts NYC. He is certified in Level I and II Invisalign and is a member of the American Dental Association, American Academy of Cosmetic Dentistry, and other prestigious organizations. With nearly 18 years of experience in restorative and cosmetic dentistry, Dr. Bertman combines a results-driven, digitally guided approach with empathetic, personalized care.

Socials: